
Transform Your Smile Today Book With Our Lead Cosmetic Dentist
Cosmetic & Implant Dentistry of Connecticut is led by Dr. Aaron M. Gross. Dr. Gross, who founded our practice in 2001, hails from a family of dental professionals, and his grandfather, uncles, and cousins all provided quality dental care around America.
With more than two decades in practice as an elite cosmetic dentist, Dr. Gross has the vast experience necessary to customize his cosmetic procedures to each patient's personalized dentistry needs. The high level of care he has consistently provided has led to widespread acclaim, with Dr. Gross being named one of America's Top Dentists.
You deserve the best dentistry has to offer, so request a consultation with our team today. You can find us in Hamden, Branford, and East Haven.

A 5-Star Review From a Hamden Patient
"cant say enough about this place. from front desk staff right through to the Dr. himself....courteous, pleasant, kind, truthful, and accommodating are just a few of the words that come to mind. more businesses should use this place as an example. makes what used to be a terrifying appt into a social visit. never have I ever looked forward to a dentist appt!!!!"
— Lynn, 5-Star Review
Affording Elite Cosmetic Dentistry
Cosmetic dentistry is not covered by dental insurance, but we don't want financial barriers to keep our dental patients from requesting procedures that would improve their confidence and appearance.
Our Hamden-area offices accept flexible financing through CareCredit®. This third-party financing option allows patients to break down cosmetic dentistry payments into low or even no interest monthly installments.
Combining Procedures in a Smile Makeover for Especially Stunning Effects
If you have several concerns that no single cosmetic dental procedure could correct, you can combine procedures into one streamlined smile makeover plan. These customized plans use a combination of cosmetic services to address your unique concerns. Certain procedures can be performed in the same appointment, ultimately saving you some time and money.
Our team takes pride in delivering smiles that our Hamden-area patients can proudly show off. By completing decades of personalized cosmetic dentistry cases, we have developed the expertise necessary to know how to pair various procedures together for the best possible results.

Cosmetic Treatments Can Address These Conditions and More
Damaged Teeth
Chipped and cracked teeth may not affect your oral health too much, but they can make you reluctant to smile. Veneers and dental bonding can hide these imperfections.
Discoloration
Even if you've been diligent with your oral hygiene, you may notice a dull, yellowed, or discolored smile. We can use dental lasers or whitening trays to lift years of surface stains and brighten your smile by several shades.
Missing Teeth
A gap can make you hide your smile. Without the proper dental care, missing teeth can also cause your jawbone to atrophy, giving your face an aged, sunken look. Implant-supported restorations are the best dental solution for missing teeth and can keep your jawbone strong.
Become Proud of Your Smile Request Your Consultation Today
Struggling with discolored, damaged, or missing teeth can cause you to feel self-conscious, leading you to hide your smile and avoid talking or laughing. The tangible benefits of the cosmetic dentistry treatments we offer are obvious. Porcelain veneers, dental crowns, and teeth whitening can conceal or eliminate aesthetic flaws while enhancing your overall appearance. Receiving the smile of your dreams, custom-designed by our premier dental team, can give you the self-esteem boost you need to live more freely and happily.
All you need to do to take the first step toward a beautiful, confidence-boosting smile is reach out to us today.

We Treat Our Hamden, CT, Patients Right
"I couldn't write a better recommendation if I wanted too. It was my three year old daughter's first time at the dentist and the second she walked in to the second she walked out, she was treated as if she was the president. The staff and everyone there was so good to my daughter and also myself and my wife. The dentists were thorough and informative and did a great job. I couldn't recommend a dentist office enough!"
— Lawrence, 5-Star Review
How Long Cosmetic Treatments Take
“Huge thank you! Gave me a same day appointment to fix a cap that fell off. Honesty, integrity, skill and friendliness with the doctors and the staff. An amazing place. I would give them 6 stars if I could.” — John, 5-Star Review
How Cosmetic Care Can Improve Health
While improving the appearance of your smile may be your priority, it should be noted that certain cosmetic procedures can significantly elevate your oral health as well. Let's take a look at how dental crowns and dental implants can enhance your health.
Dental Crowns
Dental crowns can be purely cosmetic, as they can be placed on abnormally small or misshapen teeth that make your smile asymmetrical. That being said, the treatment also offers many health benefits. Crowns can help bring balance to your bite to prevent uneven wear on your enamel and TMD. Placing a crown over a severely traumatized tooth can protect you from a dental infection, a problem that can lead to diabetes, heart disease, and more.
Dental Implants
Dental implants are highly sought after by Hamden patients who want to replace missing teeth. They are the only restorative dentistry solution that prevents the dangerous jawbone atrophy that occurs as a result of missing teeth. If you do not replace your teeth, your jawbone will deteriorate, leading to both a sunken, aged appearance and the danger of further tooth loss. Tooth loss can exacerbate health issues, prevent you from eating healthy foods, and make you susceptible to more problems.
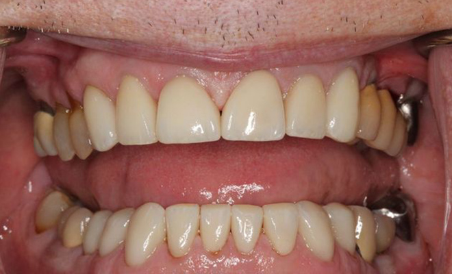
See How Dental Implants Totally Transformed Our Patient
Taking Care of Your Smile After Cosmetic Dentistry Treatment
To get the most out of your treatment and protect your investment, you should visit our cosmetic dentists every six months. A regular checkup at one of our offices in Hamden, East Haven, or Branford allows us to perform a thorough dental cleaning and examine the state of your teeth.
It's also crucial that you practice good oral hygiene by brushing twice a day and flossing daily. You should also minimize your intake of teeth-staining foods and liquids, or try to drink liquids through a straw. Quit using tobacco, as these products can yellow your teeth and cause serious oral health problems. If you have questions about the best practices for maintaining a beautiful smile, be sure to ask our dentists.
We Make Dental Care Easy
“I'm not a good patient when it comes to dental work. I get very nervous. I am so happy that I came to CID. They are wonderful, professional, caring. My cleaning was stressfree and calm. All my questions were answered and I felt very comfortable throughout the appointment. Highly recommend”
— Jenn, 5-Star Review











