Dental Emergency? We Can Help
Accidents happen, whether it's chipping a tooth or losing a crown after biting into a chewy snack. These situations can be painful and are always time-sensitive, so our dentists are happy to offer emergency dental care. Contact us now and we'll do everything possible to get you in quickly and get your smile back on track.
Our Location and Hours in East Haven, CT
Our East Haven office is located at 16 Main Street, directly off Route 1. We have our own private office space with parking for patients just outside our door.
Cosmetic and Implant Dentistry of Connecticut A High-Tech Practice With a Patient-First Approach
Our dental practice was founded by Aaron M. Gross, DMD in 2001. Since then, we've grown into a team of three highly skilled dentists and a supportive staff, working to provide excellent care to patients of all ages. We take a gentle approach and are open until 6 pm on Mondays so you can have time for your family's appointments while juggling work, school, and after-school activities.
We're proud to be the most technologically advanced dental practice in New Haven County, featuring tools like intraoral cameras, surgical guides, dental lasers, and a CEREC® machine for same-day restorations. This commitment to modern care allows us to provide high-quality services in general, cosmetic, and restorative dentistry. No matter what your oral care needs or smile goals may be, we're sure our dentists can meet and exceed your expectations.

Meet the Dentists At Our East Haven Office
Aaron M. Gross, DMD
Dr. Aaron Gross is our lead dentist and the founder of our dental practice serving East Haven and Hamden, CT. Aaron, as he prefers to be called by his patients, is recognized for excellence in dentistry, having been named one of Connecticut's Best Dentists and one of America's Top Dentists.
Aaron prioritizes continuing education, regularly attending seminars, and completing coursework in the latest dental techniques and technologies. His specialties include veneers, dental implants and restorations, and complex restorative cases.


Nicole B. Becker, DMD
As the daughter of a dentist, Dr. Becker knew she wanted to follow in her mother's footsteps at just five years old. She attended dental school at UConn, where she received the Procter and Gamble Scholarship for her knowledge and applied skill as a dental student. Upon graduation, she was recognized with the International College of Dentists Student Leadership Award and the American Academy of Implant Dentistry Student Award.
Dr. Becker pursues continuing education through her many professional memberships. She specializes in designing and placing dental restorations and providing orthodontic care with clear aligners. She is also fluent in English, Portuguese, and Spanish.
Dominic Gambino, DMD
Dr. Gambino also knew he wanted to pursue a career in dentistry from a young age. He attended dental school at UConn and went on to complete a general practice residency at Danbury Hospital. He prioritizes communication, comfort, and respect when it comes to treating each and every one of his patients.
Dr. Gambino places a high value on continuing education. He always strives to maintain the highest levels of accreditation within the dental organizations he belongs to. In addition to his extensive experience with dental restorations, he also specializes in virtually painless root canals and gentle tooth extractions.

Our Affiliations
Award-Winning Service 13 Years in a Row
In 2022, our practice was honored to receive our 13th consecutive Talk Award, which is presented to local businesses with reputations for excellent customer service. In fact, our team has earned the highest possible patient satisfaction score every year since 2010. For this, we truly thank our patients.
Our Featured Procedures
Same-Day Dental Crowns
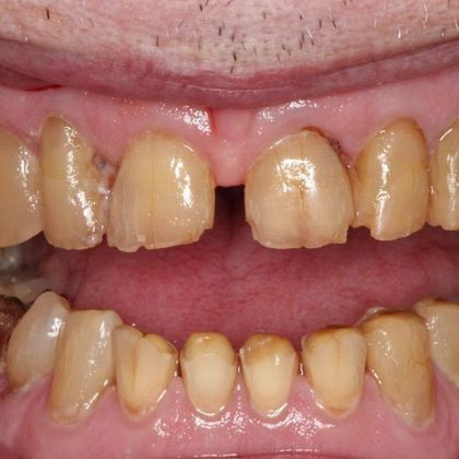
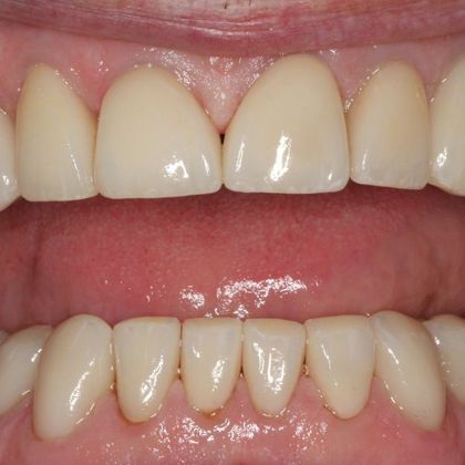
Dental crowns are tooth-shaped "caps" that cover teeth that are damaged or cosmetically flawed. As one of the most popular treatments in modern dentistry, it's a shame that it takes many dentists several weeks to design them, have them fabricated at a dental lab, and then place them for patients. This isn't an issue at our practice; we have CEREC. Our dentists use this tool to custom-design and manufacture brand-new crowns right here at our office. The process is quick, allowing you to improve your oral health or enhance your smile in a single appointment.
Dental Implants
Dental implants are the gold-standard treatment for missing teeth, and our dentists use cone-beam imaging and surgical guides for precise implant placement and superior long-term outcomes. Our dentists can provide implant-supported crowns, dental bridges, or full-arch dentures to meet the needs of patients dealing with all levels of tooth loss.
Veneers
Veneers are porcelain shells that fit onto the front surfaces of teeth. They can be used to improve the look of teeth that are chipped, cracked, stained, slightly gapped, or slightly misshapen. Our crowns are custom-made, meaning we can adjust them so they have the precise shape, shade, and size that will give your smile the most effective enhancement.
Teeth Whitening
Let's face it—our teeth can become stained even if we take care with our diet and our habits. If you feel that your smile has lost some of its luster, consider a professional teeth whitening appointment for quick and easy results. We offer in-office laser whitening, which can brighten your smile noticeably in less than an hour. We also offer professional-grade take-home whitening kits so you can refresh your smile on your schedule.
All Procedures Offered At Our East Haven, CT, Office
East Haven, CT, Leaves Us Great Reviews
"Thanks to both doctors and staff I had such a comfortable and great experience. Went for a cleaning and needing a whole lot of work-they fit me right in taking care of my most important problems. Looking forward to my future appointments to continue with a great smile again. Thanks!" Alexis S.
Insurance and Financing What Our Patients Need to Know
Our practice accepts most forms of dental insurance. Once we've decided which treatment will be best for your needs, we'll be glad to help you determine your eligibility for coverage. We're also happy to submit a claim on your behalf and work directly with your provider to maximize your savings.
We also accept CareCredit® financing to make covering costs easier for those who are uninsured or paying for their dental care out of pocket. CareCredit provides healthcare loans with little or no interest. You can repay your loan in monthly installments that work for your budget.
An Incredible Smile Transformation Can Be Yours At Cosmetic and Implant Dentistry of Connecticut
A Recommendation From a Real Patient
"The staff here are very wonderful. They call and text you to confirm your appointment and want to find the most convenient time for you. The office is extremely clean and welcoming. I can not say enough great things about my experience. I will be returning for my next appointment"
Bianca D.













