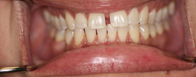
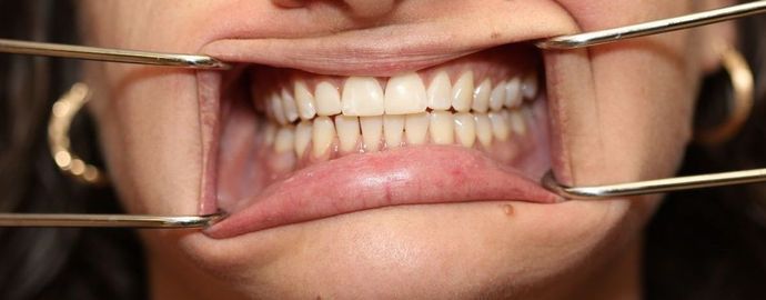
Dental Bonding

Logo

Cosmetic and Implant Dentistry of Connecticut

Cosmetic and Implant Dentistry of Connecticut, led by Dr. Aaron Gross, is proud to offer top-of-the-line dental care for patients in Hamden, East Haven, Branford, and the greater New Haven County region. Our modern office is equipped with the most advanced technology in the industry to ensure superior treatment results and better oral health. We are affiliated with several trusted organizations, including:

  • American Dental Association
  • Connecticut State Dental Association
  • New Haven Dental Association
  • World Clinical Laser Institute

Request a consultation today by filling out our online form or calling (203) 287-0666.

Contact Us Today

Contact Us

Fields With Are Required
You can also call us at (203) 287-0666. This site is protected by reCAPTCHA and the Google Privacy Policy and Terms of Service apply.
Social Accounts Sprite